Skip to content Skip to sidebar Skip to footer

Ecografia 7 Semanas Que Se Ve

7 Semanas De Gravidez

7 Semanas De Gravidez

Ecografia 7 semanas que se ve. Tu mensaje me cae del cielo me ha pasado lo mismo hoy casualmente fui a la. Desde que supiste que estás embarazada seguramente tienes muchas ganas de saber si el sexo del bebé. Ya tengo 7 semanas se embarazo supuestamente y me hecho tres ecografias transvaginales y no se ve mi embrion por lo cual me siento triste el doctor tambien me dijo que no habia posibilidades de que el embarazo siga o prospere y me dijo que esperemos hasta 2 semanas mas.

Ya tuve un embarazo anembrionado en junio de 2018. Cambios en La Madre durante la semana 7 del Embarazo. Por volta da 7ª semana de gestação os ovários e os.

Eis o essencial sobre a 7ª semana de gestação. Ecografia 5 semanas. FÍjense al final q movÍa sus brazitos d.

A data prevista para o parto DPP 23072011 e não é que bateu. Embarazada de 7 semanas. A ecografia do segundo trimestre é também conhecida como ecografia da 20ª semana ou ecografia morfológica.

Tienen forma de pequeñas esferas llenas de líquido que se hacen visibles en el espesor del endometrio E. Nesta 7ª semana de gravidez a flutuação de hormonas que está a acontecer no teu interior pode levar-te a estar mais sensível irascível ou irritável. El embrión sigue teniendo una cabeza muy grande en comparación con el resto del cuerpo pero en su interior el corazón ya se ha dividido en dos cámaras.

Desde las primeras semanas de embarazo esperamos que llegue el momento tan deseado de conocer si nuestro bebé será niño o niñaSin embargo esto sucederá alrededor de la semana 20 de embarazo en la que se realiza la ecografía clave para determinar el sexo del bebé. Normalmente las mujeres que se hacen una ecografía temprana en la semana 7 de embarazo son aquellas que vienen de un tratamiento de. Amanhã vou fazer uma ecografia mas como foi pedida pelo Medico de família só pode ser feita através da barriga.

Unos me dicen que era normal que no se viera nada a la 7 semanas. También se programa un análisis de orina y de sangre para ver si todos los parámetros están dentro de la normalidad y comprobar si existen anticuerpos de virus como la hepatitis la toxoplasmosis y la rubeola.

Ecografia 7 Semanas Maio De 2019 Babycenter

Ecografia 7 Semanas Maio De 2019 Babycenter

Ecografia Embrion Semana 7 Mide Unos 8 Milimetros Natalben

Ecografia Embrion Semana 7 Mide Unos 8 Milimetros Natalben

Ecografia 7 Semanas De Gestacion Embrion De 7 Semanas Embarazo De 7 Semanas Fetometria Embrionaria Youtube

Ecografia 7 Semanas De Gestacion Embrion De 7 Semanas Embarazo De 7 Semanas Fetometria Embrionaria Youtube

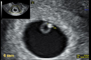
6 Semanas De Gravidez

6 Semanas De Gravidez

Ecografia 6 7 Semanas Me Quieren Hacer Un Legrado Ayudenme Con Sus Experiencias Tengo Miedo Miedos Y Temores En Tu Embarazo Babycenter

Ecografia 6 7 Semanas Me Quieren Hacer Un Legrado Ayudenme Con Sus Experiencias Tengo Miedo Miedos Y Temores En Tu Embarazo Babycenter

Ecografia Embrion Semana 7 Mide Unos 8 Milimetros Natalben

Ecografia Embrion Semana 7 Mide Unos 8 Milimetros Natalben

Gravidez Anembrionada Ou Anembrionaria Porque Acontece Trocandofraldas Com Br

Gravidez Anembrionada Ou Anembrionaria Porque Acontece Trocandofraldas Com Br

Asi Se Ve Un Embrion De 7 Semanas De Gestacion Ecografia 7 Semanas Embarazo De 7 Semanas Youtube

Asi Se Ve Un Embrion De 7 Semanas De Gestacion Ecografia 7 Semanas Embarazo De 7 Semanas Youtube

Ultrassom De 5 Semanas Nao Vi O Bebe E Agora Trocandofraldas Com Br

Ultrassom De 5 Semanas Nao Vi O Bebe E Agora Trocandofraldas Com Br

Primeira Eco De 7 Semanas Abril De 2020 Babycenter

Primeira Eco De 7 Semanas Abril De 2020 Babycenter

Mami Ecografias Emocionais 4d 5d A Evolucao De Um Bebe E Extraordinaria Na Mami4d5d Pode Realizar A Sua Ecografia A Partir Das 14 Semanas Lumiar Lisboa Marcacoes

Mami Ecografias Emocionais 4d 5d A Evolucao De Um Bebe E Extraordinaria Na Mami4d5d Pode Realizar A Sua Ecografia A Partir Das 14 Semanas Lumiar Lisboa Marcacoes

Ultrassom 7 Semanas E 2 Dias Youtube

Ultrassom 7 Semanas E 2 Dias Youtube

Informacoes Sobre A 5ª Semana De Gestacao

Informacoes Sobre A 5ª Semana De Gestacao

O Que E Vesicula Vitelinica Trocando Fraldas

O Que E Vesicula Vitelinica Trocando Fraldas

A Partir De Quando E Possivel Saber Se A Gravidez E De Gemeos Bebe Com Br

A Partir De Quando E Possivel Saber Se A Gravidez E De Gemeos Bebe Com Br

Nao Vi O Embriao No Ultrassom De 5 Semanas E Agora Ultrassul

Nao Vi O Embriao No Ultrassom De 5 Semanas E Agora Ultrassul

Ecografia De 7 Semanas De Embarazo Youtube

Ecografia De 7 Semanas De Embarazo Youtube

Ecografia Embrion Semana 7 Mide Unos 8 Milimetros Natalben

Ecografia Embrion Semana 7 Mide Unos 8 Milimetros Natalben

Ultrassonografia 7 Semanas E 4 Dias Dezembro De 2018 Babycenter

Ultrassonografia 7 Semanas E 4 Dias Dezembro De 2018 Babycenter

Ultrassom Ecografia 5 Semanas E 1 Dia Muitas Duvidas De Mae Para Mae

Ultrassom Ecografia 5 Semanas E 1 Dia Muitas Duvidas De Mae Para Mae

Primera Ecografia Del Embarazo A Las 7 Semanas

Primera Ecografia Del Embarazo A Las 7 Semanas

A Primeira Ultrassom Do Bebe 7 Semanas Trocando Fraldas

A Primeira Ultrassom Do Bebe 7 Semanas Trocando Fraldas

Gravidez Semana A Semana Tudo Sobre Evolucao E Cuidados Na Gestacao

Gravidez Semana A Semana Tudo Sobre Evolucao E Cuidados Na Gestacao

7 Semanas De Embarazo Panza

7 Semanas De Embarazo Panza

Fiz A Ultrassom E Estou Com 7 Semanas E 4 Dias Mais O Medico Nao Ouviu O Coracao Estou Apavorada Gravidez Assuntos Gerais Teste De Gravidez Positivo Teste De Gravidez Exame De Gravidez

Fiz A Ultrassom E Estou Com 7 Semanas E 4 Dias Mais O Medico Nao Ouviu O Coracao Estou Apavorada Gravidez Assuntos Gerais Teste De Gravidez Positivo Teste De Gravidez Exame De Gravidez

Ultra De 7 Semanas E 5 Dias Ouvi Os Batimentos Tudo Certinho Maio De 2019 Babycenter

Ultra De 7 Semanas E 5 Dias Ouvi Os Batimentos Tudo Certinho Maio De 2019 Babycenter

Gravidez Semana A Semana Nas Fotos De Ultrassom

Gravidez Semana A Semana Nas Fotos De Ultrassom

4 Semanas De Gravidez

4 Semanas De Gravidez

Radiologia Brasileira Anormalidades Do Primeiro Trimestre Da Gravidez Ensaio Iconografico

Radiologia Brasileira Anormalidades Do Primeiro Trimestre Da Gravidez Ensaio Iconografico

Ultrassom Transvaginal Obstetrico

Ultrassom Transvaginal Obstetrico

Gravidez

Gravidez

Como Determinar O Risco De Prematuridade Em Gestacao Com Colo Curto

Como Determinar O Risco De Prematuridade Em Gestacao Com Colo Curto

Dudas Gine Ecografia En El Embarazo

Dudas Gine Ecografia En El Embarazo

Semana 7 De Embarazo Inatal El Embarazo Semana A Semana

Semana 7 De Embarazo Inatal El Embarazo Semana A Semana

Ecografia Gestacional Abdominal Clinica Viver

Ecografia Gestacional Abdominal Clinica Viver

Ecografia 7 Semanas Youtube

Ecografia 7 Semanas Youtube

7 Semanas De Gestacao Gravidez Semana A Semana Mae Me Quer

7 Semanas De Gestacao Gravidez Semana A Semana Mae Me Quer

Radiologia Brasileira Anormalidades Do Primeiro Trimestre Da Gravidez Ensaio Iconografico

Radiologia Brasileira Anormalidades Do Primeiro Trimestre Da Gravidez Ensaio Iconografico

Eco 7 Semanas E 1 Dia Gemeos Trigemeos Ou Mais Babycenter

Eco 7 Semanas E 1 Dia Gemeos Trigemeos Ou Mais Babycenter

3 Semanas De Gravidez

3 Semanas De Gravidez

Pin En Quotes

Pin En Quotes

Ultrassons Indicados Na Gravidez Maternidade D Or

Ultrassons Indicados Na Gravidez Maternidade D Or

12ª Semana De Gestacao Tudo Sobre O Fim Do 1 Trimestre De Gestacao

12ª Semana De Gestacao Tudo Sobre O Fim Do 1 Trimestre De Gestacao

Gravidez Semana A Semana Tudo Sobre Evolucao E Cuidados Na Gestacao

Gravidez Semana A Semana Tudo Sobre Evolucao E Cuidados Na Gestacao

Ultrassom Transvaginal Obstetrico

Ultrassom Transvaginal Obstetrico

Calendario De Gestacao Como Bebe Se Desenvolve A Cada Mes

Calendario De Gestacao Como Bebe Se Desenvolve A Cada Mes

Ultrassom O Que E Como E Feito E Para Que Serve Veja Saude

Ultrassom O Que E Como E Feito E Para Que Serve Veja Saude

7 Semanas De Embarazo Gestacion Completa Paso A Paso Unisima Com

7 Semanas De Embarazo Gestacion Completa Paso A Paso Unisima Com

Search Q Ecografia 8 Semanas De Embarazo Tbm Isch

Search Q Ecografia 8 Semanas De Embarazo Tbm Isch

El embrión sigue teniendo una cabeza muy grande en comparación con el resto del cuerpo pero en su interior el corazón ya se ha dividido en dos cámaras.

Pediram-me para beber meio litro de água uma hora antes e não fazer xixi entretanto. Ecografia 5 semanas. SEMANA 7 NO SE VE EL EMBRION. Sabado eu fui fazer minha primeira ecografia e nao foi visto o embriao. Mi bebÉ hermoso. Los pulmones tienen un bronquio primario para permitir el paso del aire el cerebro se divide en dos hemisferios y va aumentando de tamaño y empiezan a aparecer las fosas nasales y las. Es posible ver el botón embrionario o el saco gestacional un poco antes de estos tiempos pero para evitar dudas puede que el médico espere hasta la semana 6 o 7 para. A data prevista para o parto DPP 23072011 e não é que bateu. Me da miedo que se repita.


La ecografía que se suele hacer en la semana 6 de embarazo es un ultrasonido transvaginal que permite ver la cámara gestacional. Eis o essencial sobre a 7ª semana de gestação. Nunca fiz uma eco pela barriga com tão pouco tempo de gestação. 7 Semanas de gestação. Ecografia 5 semanas. FÍjense al final q movÍa sus brazitos d. Con la ecografía podremos observar al embrión.

Post a Comment for "Ecografia 7 Semanas Que Se Ve"